Kompakte, hochauflösende, schnelle und hochempfindliche C-Mount-Kamera
DS-Fi3 ist eine hochauflösende Farbmikroskopkamera, die mit einem 5,9-Megapixel-CMOS-Bildsensor ausgestattet ist. Ihre hohe Daten Auslesegeschwindigkeit, hervorragende Farbwiedergabe und hohe Quanteneffizienz sind optimal für die mikroskopische Bildgebung für verschiedenste mikroskopische Anwendungen, wie Hellfeld-, DIC-, Phasenkontrast- und Fluoreszenz.

* DS-Fi3 ist nicht für die klinische Diagnostik geeignet.
Hauptmerkmale
High-Definition-Bildgebung
Die DS-Fi3 ist mit einem 5,9-Megapixel-CMOS-Bildsensor ausgestattet, der die Aufnahme hochauflösender Bilder mit bis zu 2880 x 2048 Pixeln ermöglicht. Mit diesem neuen CMOS-Bildsensor und der Hochgeschwindigkeits-Datenübertragung über USB 3.0 ermöglicht DS-Fi3 eine schnelle Fokussierung auch bei hochauflösender Bildgebung und eine effiziente Bilderfassung bei Verwendung einer Vielzahl von Beleuchtungstechniken.
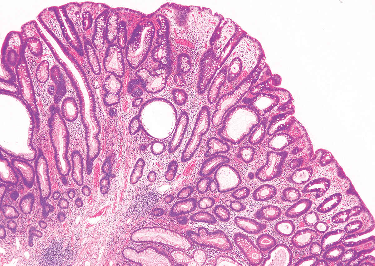
Tubuläres Adenokarzinom, HE-Färbung (Objektiv: CFI Plan Apochromat Lambda 4X)
Mit freundlicher Genehmigung: Dr. Yasunori Ohta, Department of Pathology, IMSUT Hospital, Institute of Medical Science, The University of Tokyo
Hohe Empfindlichkeit und geringes Rauschen
Die DS-Fi3 hat eine deutlich höhere Quanteneffizienz und ein geringeres Ausleserauschen als herkömmliche Modelle. Es ermöglicht die Aufnahme von helleren Bildern mit höheren Signal-Rausch-Verhältnissen in Fluoreszenzbeobachtungsmodi.
Brustkrebs, FISH-Verfahren (Objektiv: CFI Plan Apochromat Lambda 100X Öl)
Mit freundlicher Genehmigung: Hironao Kusakari, Diagnostic Pathology, St. Marianna University Hospital
High-Speed-Live-Anzeige
Dank der hohen Datenauslese-Geschwindigkeit des CMOS-Bildsensors und der schnellen USB-3.0-Datenübertragung erzeugt die DS-Fi3 Livebilder mit 15 Bildern pro Sekunde bei einer Auflösung von 2880x2048 Pixel und 30 Bildern pro Sekunde bei einer Auflösung von 1440x1024 Pixel. Dadurch wird unter anderem die Fokussierung über das Kamerabild und auch das Verfahren zu den ausgewählten Probenpositionen mit Hilfe des Kamerabildes möglich.
Hervorragende Farbreproduzierbarkeit
Nikon ist bekannt für eine herausragende und naturgetreue Farbwiedergabe und für die Entwicklung von hervorragenden Algorithmen zur originalgetreuen Wiedergabe von Bildern. Diese Algorithmen kommen in allen Farbkameras der Digital-Sight-Serie zum Einsatz.
Gebärmutterhals, Pap-Färbung (Objektiv: CFI Plan Apochromat Lambda 40XC)
Mit freundlicher Genehmigung: Kazuhiro Mita, Department of Pathology, Yokohama City University Hospital
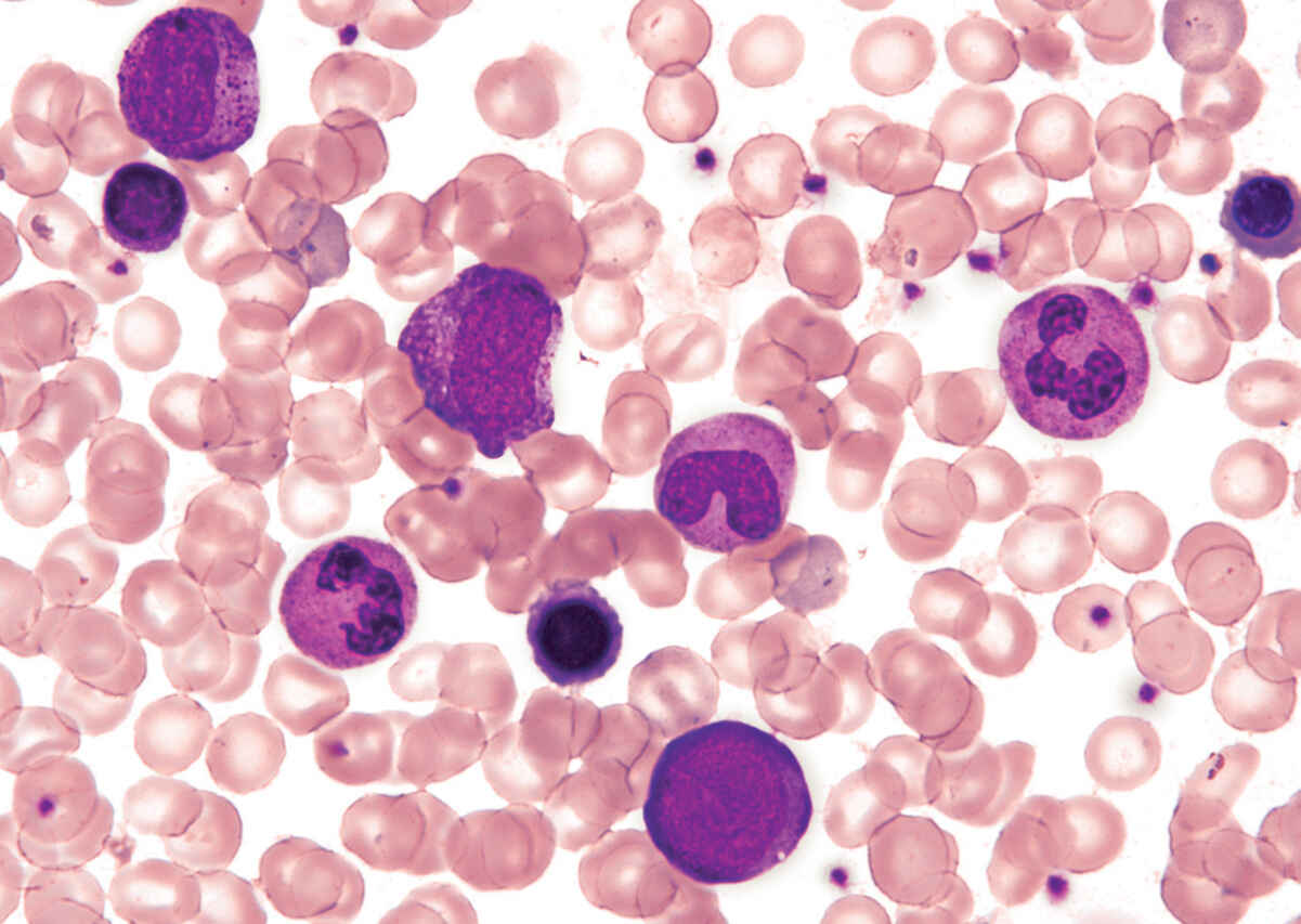
Knochenmark (Objektiv: CFI Plan Achromat NCG 40x)
Mit freundlicher Genehmigung: Clinical Laboratory Department, Yokohama City University Hospital
Direkter Anschluss an einen PC
Der DS-Fi3 ermöglicht die direkte Verbindung mit einem PC über eine USB3.0-Schnittstelle, um die Kamera zu steuern und Bilder mit der NIS-Elements-Imaging-Software aufzunehmen.